Владивосток ваш город?
Да
Выбрать другой город

УЗИ-аппарат
Mindray DC-T6

В наличии
Ультразвуковая система Mindray DC-T6 – это инновационный аппарат для проведения высокого уровня диагностики с качественной визуализацией и широким спектром применения. Платформа рекомендована для использования в коммерчески многопрофильных медицинских учреждениях и государственных лечебных клиниках.
Лизинг
Доставка и лизинг по всей России
Включая Дагестан, Чечню и Крым
Гарантия
Гарантия на медицинское оборудование от производителя!
Послепродажный сервис
Инженерная поддержка
Инструктаж по монтажу и обучение персонала включены в стоимость
Гибкие условия
Оперативная доставка
Лизинг и доставка оборудования в наличии от 1 рабоего дня

Система поставляется с 15-дюймовым TFT-монитором, а дополнительная эргономика достигается благодаря встроенному кронштейну с угловым механизмом поворота экрана. Это позволяет врачу адаптировать аппарат под свои персональные задачи и обеспечить дополнительный комфорт для пациентов. Благодаря небольшому весу, устройство легко передвигать по территории клиники, в лифтах и ограниченных пространствах.>

Техническая комплектация ультразвуковой системы Mindray DC-T6 включает:

  • Монитор: ЖК-дисплей высокого разрешения (15/17 дюймов, на выбор пользователя).
  • Специальный кронштейн: Всенаправленный кронштейн с поворотной и регулируемой по высоте панелью управления, обеспечивающий дополнительную эргономику.
  • B-Steer™ / iNeedle™: Функция маневрирования ультразвукового луча, улучшающая видимость иглы, нервных волокон и мелких сосудов.
  • iStation™: Система управления информацией о пациенте, позволяющая интегрировать, просматривать, архивировать и извлекать данные о пациенте.
  • Технология PSH™: Гармоническая визуализация с фазовым сдвигом для улучшения контрастного разрешения и получения четкого изображения с меньшим уровнем шума.
  • Формирование мульти-луча: Увеличение скорости обработки сигнала до 8 раз для одного передаваемого луча, обеспечивающее высокое разрешение по времени и частоте кадров.
  • Технология iBeam™: Использование нескольких углов сканирования для формирования единого изображения, повышающего контрастное разрешение и качество визуализации.
  • iZoom™: Быстрое переключение в полноэкранный режим одним нажатием кнопки.
  • iTouch™: Автоматическая оптимизация изображения в режимах B-режима, цветного допплера и импульсно-волнового допплера (PW) одним нажатием кнопки.
  • iStorage™: Передача изображений и отчетов на ПК по сетевому кабелю.
  • Возможности сетевого взаимодействия: DICOM 3.0, резервное копирование, экспорт, перемещение данных, перезаписываемый DVD, USB-флеш-память.
  • Технология iClear™: Автоматическое распознавание структур, обеспечивающее четкие края и контуры, однородное отображение тканей и снижение зернистости в "областях без эхосигнала

Купить УЗИ ультразвуковую диагностическую систему Mindray DC-T6

Компания Medicray специализируется на поставках медицинского оборудования в клиники, медицинские и хирургические центры, стоматологии и другие лечебно-профилактические учреждения. Мы гарантируем точные сроки поставки, высокое качество нашего оборудования и оптимальные цены. Мы всегда открыты к индивидуальным договоренностям и готовы предложить лучшие условия на рынке!

Мы также предлагаем возможность приобретения оборудования в лизинговой форме совместно с несколькими лизинговыми компаниями:

  • Оставляете заявку на наше оборудование.
  • Наш менеджер готовит для вас предложение по оборудованию и графику платежей.
  • Получаете одобрение от лизинговой компании и заключаете договор лизинга.
  • Лизинговая компания приобретает оборудование и передает его вам в лизинг.
  • Вы пользуетесь медицинским оборудованием в своей клинике.
  • Вносите регулярные лизинговые платежи, а по окончании договора оборудование переходит в вашу собственность.

Звоните нам уже сейчас по телефону <strong>8 800 700 21 33</strong>, чтобы получить выгодную цену и лучшие условия финансирования. Помните, что цены могут измениться, поэтому не упустите возможность! Оставьте заявку на коммерческое предложение по ультразвуковой системе Mindray DC-T6.

Технические характеристики
Диагональ монитора:
17 дюйм
Вес аппарата:
55 кг
Тип аппарата:
Стационарный
Эластография:
Компрессионная
Класс аппарата:
Средний
Поддерживаемые датчики:
Высокоплотные
Количество портов:
4
Страна производитель:
Китай
Бренд:
Mindray
Категория:
Общая визуализация, Ветеринарные УЗИ-аппараты
Доступные опции
Режимы акустической прозрачности 3D:
Нет
Трехмерная реконструкция ЦДК:
Нет
Объемное сканирование:
Да
Трехмерная реконструкция методом свободной руки:
Да
Эластография сдвиговой волной/Эластометрия:
Нет
Компрессионная эластография:
Да
Автоматическая подстройка рамки допплера:
Нет
Режим полной автоматизации:
Нет
Недопплеровская визуализация кровотока:
Нет
Тканевой допплер:
Нет
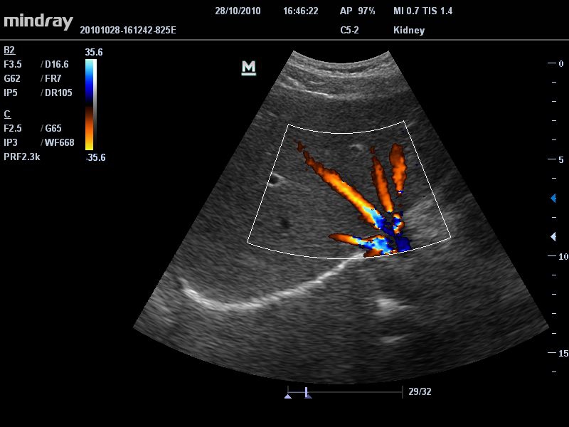
Направленный энергетический допплер:
Да
Энергетический допплер:
Да
Высокочастотный импульсный допплер:
Да
Цветовой допплер:
Да
Постоянно-волновой допплер:
Да
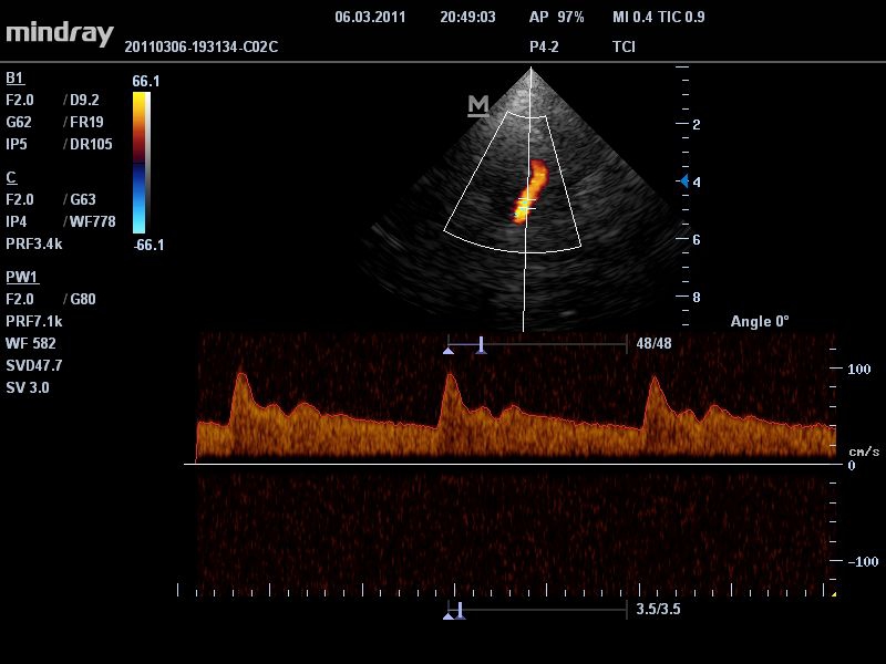
Импульсно-волновой допплер:
Да
Анатомический М-режим:
Нет
Панорамное сканирование:
Да
Режим B-сканирования с отклонением угла:
Нет
Трапециевидное сканирование/Виртуальный конвекс:
Да
Триплексное сканирование:
Нет
Дуплексное сканирование:
Нет
Цветной M-режим:
Да
M-режим:
Да
B-режим, Двухмерное сканирование:
Да
Область применения
Общая визуализация:
Да
Ветеринария:
Да
Компоненты дополнительной поставки
3D/4D:
Да
4D:
Да
DICOM:
Да
B-Steer:
Да
Аккумуляторная батарея:
Да
Подавление зернистости:
Да
Стресс-эхо:
Да
ЭКГ модуль:
Да
Pulsed Wave Doppler (PW):
Да
iNeedle:
Да
iScape:
Да
ExFOV:
Да
PSH:
Да
iBeam:
Да
iTouch :
Да
iZoom:
Да
iStation:
Да
iClear:
Да
Auto IMT+:
Да
Онлайн калькулятор
Цена
Ориентировочная цена модели
Аванс
10% 100%
 
Срок лизинга
12 месяцев 36 месяцев
 
Ежемесячный платёж
Первоначальный взнос
* Рассчет платежа носит информационный характер и не является публичной офертой.
Условия лизинга индивидуальны для каждого договора.
Условия лизинга
  • По всей России (Включая Крым, Дагестан и Чечню)
  • Авансовый платеж от 10% (для УЗИ брендов GE, Mindray и Samsung)
  • Оформление лизинга от 48 часов
  • Возможность досрочного погашения
  • Лизинг оборудования от 1 года

  • 4 активных порта для датчиков.
  • 15" TFT монитор (17" опционально).
  • Жесткий диск объемом 320 Гб.
  • USB-порты.
  • Встроенный CD/DVD привод.
  • Совместимость с форматом DICOM 3.0.
  • iRoam™: беспроводная передача данных по стандарту 802.11b/g.
  • Функция сохранения данных Direct Network: экономный способ обмена данными между системой DC-T6 и ПК.
  • Встроенная аккумуляторная батарея.
  • Широкая функциональность, в том числе 3d и 4d.
  • Высокое качество изображения.
  • Высокая скорость работы.
  • Большой выбор датчиков.
  • Разнообразие приложений.
  • Компактные габариты и малый вес позволяют легко перемещать сканер.
  • Эргономичная конструкция обеспечивает комфорт специалиста и высокую эффективность работы.
  • Автономность. Возможность работы не только от сети, но и от аккумуляторов. Интеллектуальная система iPower™ обеспечивает до 2 часов работы в режиме сканирования.
  • Адаптивные датчики подстраиваются к разным состояниям пациента обеспечивая гибкость для соответствия различным нуждам в настоящий момент и в будущем.
  • Прямая передача данных по беспроводному соединению. Позволяет подключаться к локальной сети из любого места по принципу Plug and play.
  • Демократичная цена. Использование новейших экономичных технологий позволило сделать стоимость этого сканера сопоставимой с младшими моделями.

Возможности узи-сканера MIndray DC-T6

Система сочетает в удобном и компактном корпусе не только традиционные возможности современного УЗИ-сканера, но и инновационные технологии, повышающие точности диагностики состояния пациентов.

  • Режимы сканирования: B/M/CFM/PDI/Направленный PDI/PW, HPRF, Тканевая гармоника, М- и цветной М-режим.
  • Режим "виртуального конвекса".
  • Формирование восьмиугольного пучка: обеспечивает баланс между временным разрешением и разрешением сканирования.
  • iClear™: технология подавления зернистости увеличивает контрастное разрешение поврежденных участков без ущерба для пространственного разрешения.
  • iBeam™: позволяет более точно определять границы благодаря объединению нескольких изображений, полученных под разными углами, в одно изображение в режиме реального времени.
  • 4d в реальном времени (четырехмерное изображение).
  • Просмотр изображения в режиме iScape™: панорамирование изображения в реальном времени.
  • IMT: автоматический расчет толщины интима-медиа сосудов.
  • TDI: тканевый допплер с количественным анализом.
  • Free Xros CM: анатомический M-режим с кривой контрольной линией.
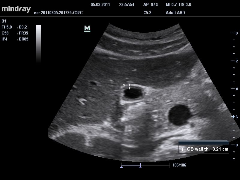
  • THI со сдвигом фазы: увеличивает четкость визуализации желчного и мочевого пузыря и повышает отношение сигнал-шум.

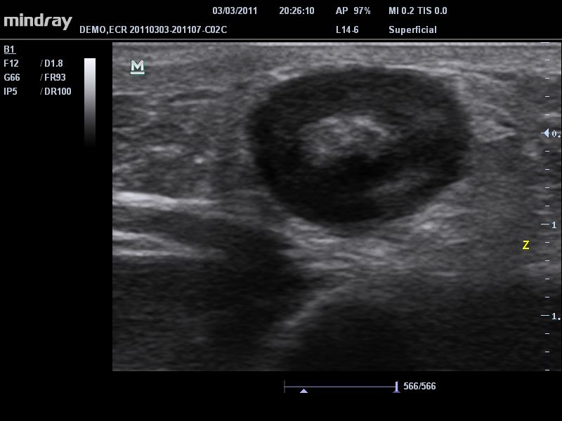
  • Микроконвексный датчик Mindray 6C2
  • Ультраректальный ветеринарный датчик Mindray 6LE5Vs
  • Линейный ультразвуковой датчик Mindray 7L4A
  • Линейный УЗИ датчик Philips L12-4
  • Высокочастотный линейный датчик 38 мм Mindray l14-6NE
  • Секторный фазированный датчик Mindray P7-3

Давайте обсудим
Покупку или лизинг
медицинского оборудования